Diagenode

Cre polyclonal antibody

目录号
格式
价格
C15310168
(CS-168-100)
100 µl
$280.00
  Bulk order



Polyclonal antibody raised in rabbit against Cre recombinase using a KLH-conjugated synthetic peptide located at the C-terminal part of the protein.

LotA1040-004
Concentrationnot determined
Species reactivity
TypePolyclonal
PurityWhole antiserum
HostRabbit
PrecautionsThis product is for research use only. Not for use in diagnostic or therapeutic procedures.
Applications Suggested dilution References
ELISA 1:100 Fig 1
Western Blotting 1:500 Fig 2, (1)
  • Validation Data

    ELISA

    Figure 1. Determination of the titer
    To determine the titer, an ELISA was performed using a serial dilution of the Diagenode antibody directed against Cre (cat. No. CS-168-100) in antigen coated wells. By plotting the absorbance against the antibody dilution (Figure 1), the titer of the antibody was estimated to be 1:2,900.

    Western blot

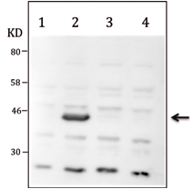
    Figure 2. Western blot analysis using the Diagenode antibody directed against Cre (1)
    Western blot was performed on whole cell lysates from untransfected 293 cells (lane 1), or 293 cells transfected with Cre (lane 2), Dre (lane 3) or Flp (lane 4) with the Diagenode antibody against Cre (cat. No. CS-168-100), diluted 1:500 in BSA/PBS-Tween. The molecular weight marker (in KD) is shown on the left; the location of the protein of interest (expected size: 38 KD) is indicated on the right.

  •  应用
    ELISA
    Enzyme-linked immunosorbent assay. Read more
    WB
    Western blot : The quality of antibodies used in this technique is crucial for correct and specific protein identification. Diagenode offers huge selection of highly sensitive and specific western blot-validated antibodies. Learn more about: Load... Read more
  •  文档
    Datasheet Cre CS-168-100 DATASHEET
    Datasheet description
    Download
  •  Safety sheets
    SDS C15310168 Cre Antibody US en Download
    SDS C15310168 Cre Antibody GB en Download
    SDS C15310168 Cre Antibody FR fr Download
    SDS C15310168 Cre Antibody BE fr Download
    SDS C15310168 Cre Antibody ES es Download
    SDS C15310168 Cre Antibody JP ja Download
    SDS C15310168 Cre Antibody DE de Download
    SDS C15310168 Cre Antibody BE nl Download
  •  出版物

    How to properly cite our product/service in your work

    We strongly recommend using this: Cre polyclonal antibody (Hologic Diagenode Cat# C15310168 Lot# A1040-004). Click here to copy to clipboard.

    Using our products or services in your publication? Let us know!

 


       Site map   |   Contact us   |   Conditions of sales   |   Conditions of purchase   |   Privacy policy